Patient Smile Gallery
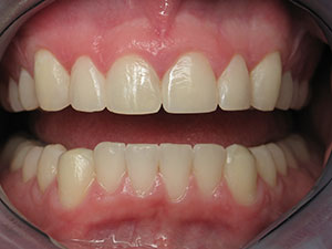
Case 1: Natural Veneers
Before
After
Case 2: Direct Resin Veneers
Before
After
Case 3: New Esthetic Crowns - Natural
Before
After
Case 4: New Esthetic Crowns – Hollywood White
Before
After
Case 5: New Esthetic Crowns - Natural
Before
After
Case 6: Porcelain Veneers
Before
After
Case 7: Full Mouth Esthetic Crowns – Natural
Before
After
Case 8: Hollywood White
Before
After
Case 9: Full Mouth Esthetic Crowns – Hollywood White
Before
After
Case 10: Full Mouth Esthetic Crowns – Natural
Before
After
Case 11: Porcelain Veneers
Before
After
Case 12: Direct Resin Veneers
Before
After
Case 13: Direct Resin Veneers
Before
After
Case 14: Direct Resin Veneers
Before
After
Case 15: Direct Resin Veneers
Before
After
Case 16: Cosmetic Ortho with Whitening
Case 17: Cosmetic Ortho – Invisalign
Case 18: Immediate Implant – Same Day
Case 19: Multiple Implants – Non-removable
Case 20: Detachable Denture – Lock-on
Before
After
Case 21: Multiple Implants – Non-removable
Before
After
Case 22: Single Esthetic Implant
Case 23: Porcelain Crowns on Four Upper Teeth – Natural Color
Before
After
Case 24: Full Mouth Bleaching and Porcelain Veneers on Four Upper Teeth
Before
After
Case 1: Natural Veneers
Before
After
Case 2: Direct Resin Veneers
Before
After
Case 3: New Esthetic Crowns - Natural
Before
After
Case 4: New Esthetic Crowns – Hollywood White
Before
After
Case 5: New Esthetic Crowns - Natural
Before
After
Case 6: Porcelain Veneers
Before
After
Case 7: Full Mouth Esthetic Crowns – Natural
Before
After
Case 8: Hollywood White
Before
After
Case 9: Full Mouth Esthetic Crowns – Hollywood White
Before
After
Case 10: Full Mouth Esthetic Crowns – Natural
Before
After
Case 11: Porcelain Veneers
Before
After
Case 12: Direct Resin Veneers
Before
After
Case 13: Direct Resin Veneers
Before
After
Case 14: Direct Resin Veneers
Before
After
Case 15: Direct Resin Veneers
Before
After
Case 16: Cosmetic Ortho with Whitening
Case 17: Cosmetic Ortho – Invisalign
Case 18: Immediate Implant – Same Day
Case 19: Multiple Implants – Non-removable
Case 20: Detachable Denture – Lock-on
Before
After
Case 21: Multiple Implants – Non-removable
Before
After
Case 22: Single Esthetic Implant
Case 23: Porcelain Crowns on Four Upper Teeth – Natural Color
Before
After
Case 24: Full Mouth Bleaching and Porcelain Veneers on Four Upper Teeth
Before
After

